
Diagnosis cetra – ullae therapiae fundamentum
Древняя латинская пословица
(Правильный диагноз – залог любого лечения)
Время от времени каждому из нас приходится обращаться к врачу. Возникал ли у вас вопрос, как же ему удаётся определить диагноз больного, ведь человек со своими жалобами на недомогание встаёт перед ним как чёрный ящик. Неизвестно, что происходит внутри. Каким же образом извлечь информацию о протекании всех тех многочисленных процессов в человеческом организме, которые и обуславливают то или иное самочувствие?

Один из центральных объектов экспозиции
дрезденского Музея гигиены
С древних времён и до сегодняшнего дня врачи использовали широкий арсенал диагностических средств. Конечно же, во времена Гиппократа он был менее разнообразным и менее мощным, нежели сейчас. Однако развитие биологии и физики со временем позволяло всё больше заглядывать в этот «чёрный ящик», называемый человеком, чтобы найти болезнь и помочь её победить.
Отметим, что человек, как подопытный материал, предельно неудобен. Ведь в процессе исследования этот «материал» должен остаться неповреждённым и дееспособным. Такой механизм не разберёшь на составные части, чтобы найти небольшую неполадку или недостаток в маленькой детали. Из этого следует, что первым требованием, предъявляемым к методам диагностики, является их минимальная инвазивность, то есть сохранение целостности и функциональности тканей и органов пациента во время обследования.
Во-вторых, критическим параметром исследования является время. Если болезнь не определить вовремя, человек может погибнуть. Поэтому все анализы следует производить как можно быстрее.
Среди других требований к диагностическим средствам выделяется вопрос индивидуальности и неповторимости всех процессов, происходящих в человеческом организме. Не существует двух одинаковых людей, поэтому нет и чёткой границы, которая отделяла бы здорового человека от больного. Поэтому на сегодняшний день никакая машина не сможет без опытного врача поставить точный диагноз.

на том факте, что сердце в результате
своей деятельности генерирует
электрические сигналы
Человек, как объект исследования, является достаточно сложной системой с большим количеством связей между всеми составляющими её частями. Он является источником сигналов разной природы: химических, электрических, магнитных, акустических. При этом уровень такого сигнала часто довольно невысок, а потому его трудно выделить на фоне подобных, но более мощных сигналов, которые наполняют окружающий нас мир.
Чтобы извлечь информацию, используя всё это разнообразие сигналов, хороший повод обратиться за помощью к физикам, которые накопили опыт исследования неживых объектов, и к биологам, способным указать на специфику работы с живым организмом.
Такими совместными усилиями медиков, биологов и физиков и создаются разнообразные приборы для диагностики состояния человеческого организма. Эти методы диагностики ориентируются на разные параметры состояния организма, протекания болезни.
Так, электрокардиография измеряет электрическую активность сердца, в то время как магнитокардиография изучает магнитное поле этого органа. При нарушении деятельности сердца происходят определённые искажения его электромагнитного поля, что и позволяет заметить болезнь. Оба эти метода взаимно дополняют друг друга и позволяют более точно определить диагноз, заметить ранние признаки заболевания.
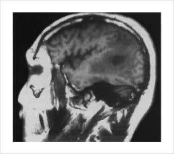
Среди методов, регистрирующих электрическую активность, широко распространена электроэнцефалография, которая позволяет отобразить активность человеческого мозга. «Заглянуть в чужую голову», а, впрочем, не только в голову, позволяют методы томографии. Само слово «томография» означает «изображение среза». Это значит, что задачей томографии является получение послоевого изображения исследуемого объекта, органа.


позволяет получать изображение срезов
разных органов, в том числе и головы
Современная томография для получения информации использует внешнее излучение разной физической природы. Это ультразвук, радио- и оптические сигналы, гамма-лучи, корпускулярное излучение, акустические волны и т.д. Для каждого вида излучения характерны свои особенности, которые и диктуют требования к постановке томографического эксперимента и конструкции прибора.
Ещё одним способом диагностики является измерение инфракрасного излучения человеческого тела – термография (также этот метод называют тепловидением, поскольку количество инфракрасного излучения с определённого участка тела пропорционально температуре этого участка).
В наше время методы диагностики и лечения стремительно развиваются, поскольку современная физика накопила много информации о материи и методах её исследования, а биология и медицина могут указать на то, как же эти знания следует применять к такой сложной физико-биологической системе, как человек.
Марина Квасница
По теме:


Основатель и издатель
Copyright © 2016–2021 Научно-популярный